スマート医療データサービス
Nexdataは自社開発したデータアノテーション プラットフォームを通じた、診療情報、医療画像のアノテーションなどの作業が可能。お客様による患者とのインタラクションの実現を支援します。
世界のAI大手企業、ベンチャー企業・スタートアップ、大学研究機関から信頼されます。
病巣セマンティックセグメンテーション、キーポイント、骨年齢アノテーション、MPRなどの機能を備えた独自のアノテーションプラットフォームは、DICOM医学デジタル画像フォーマットおよび通常の2D可視光画像フォーマットのデータセットの管理とアノテーションをサポート。

医療用画像やテキストデータに対して、病症レベルのアノテーション、病症レベルの分類をサポートします。

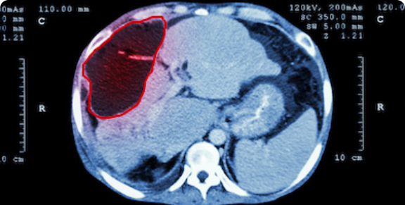
病症レベル、病巣領域、病巣名などをアノテーションします。

病巣領域に対してピクセルレベルのセグメンテーションとアノテーションを行ないます。

病名、薬剤名、病歴、診療科などのカルテ情報をアノテーションし、正しいエンティティタイプを付与します。

医療記録、検査報告書、医療請求書などのデータアノテーションおよび文字起こしをサポートします。
Nexdataは、データセキュリティと顧客の信頼を最大限に重視しています。当社は個人情報保護法、GDPR、CCPA、PIPC、HIPAA規制に従っています。また、セキュリティと規制遵守のためにISO 27001、ISO 27701、ISO 9001の資格を取得しています。Nexdataは卓越したデータセキュリティを提供し、様々な国際的標準を遵守することで顧客の信頼を得ています。






Nexdataは、パイプラインによるアノテーションワークフローのコントロールを徹底しています。
AIプロジェクトを5倍スピードアップします。

潜在的に有害なケースは、アノテーションのために送り返します



音声、画像、ビデオ、点群、テキストデータなどあらゆるアノテーションに対応。

Nexdata.aiは、幅広いデータ
アノテーションと収集サービスを提供し
お客様のAIプロジェクトを成功に導きます。

Nexdataは、インテリジェントな自己検査、
複数の品質チェックとISO9001認証により、
高品質なデータをお届けします。

30種類の実績あるアノテーションツール
音声、画像、ビデオ、3D点群、テキストなど
データアノテーションの要件を完全にカバーします。

個人情報保護法、
GDPR、ISO27001/ISO27701
に準拠しています。

AIによる事前認識機能により、
人間とコンピュータの協同による
半自動アノテーションを実現します。